top of page
Search
  • Writer: LLU Path Attendings
    LLU Path Attendings
  • Nov 25, 2019
  • 1 min read

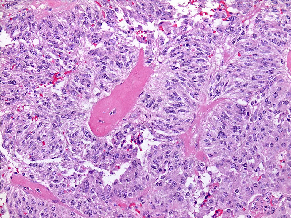
Here is a case from Dr. Denham's files. This is a 53-year-old male with a large thyroid mass.


ree

ree

ree

ree

 
 
 

©2019 by LLU Pathology. Proudly created with Wix.com

bottom of page