top of page
Search
  • Writer: LLU Path Attendings
    LLU Path Attendings
  • Dec 15, 2019
  • 1 min read

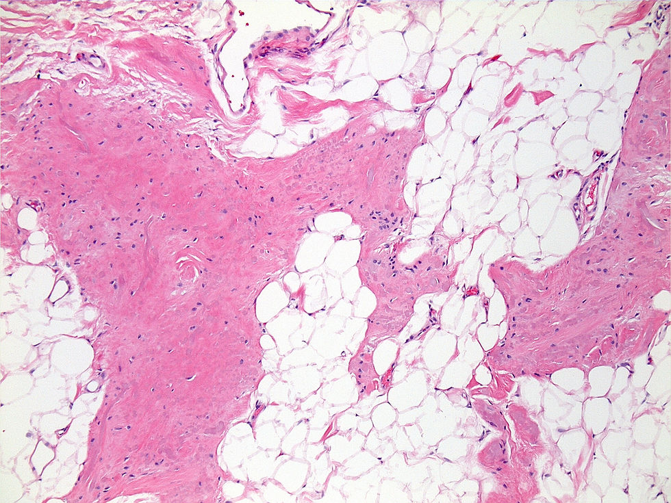
This is a poorly-circumscribed subscapular mass from a 53-year-old woman. Thanks again to Dr. Denham for sharing these cases...


ree

ree

 
 
 

©2019 by LLU Pathology. Proudly created with Wix.com

bottom of page